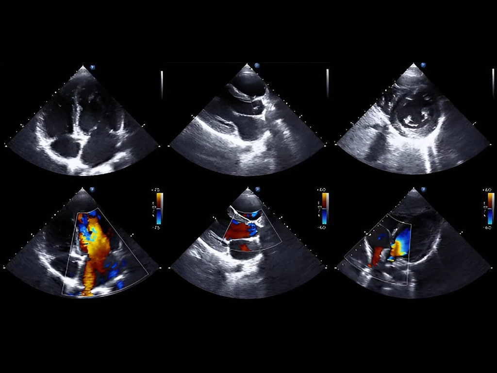
اگر میخواهید در یک نگاه بدانید انواع اکوکاردیوگرافی قلب چه هستند و هرکدام چه کاربردی دارند، این خلاصه را بخوانید:
- اکو ترانس توراسیک یا اکو از روی قفسه سینه: رایجترین نوع، مناسب برای ارزیابی کلی ساختار و عملکرد قلب، بدون نیاز به بیهوشی.
- اکو ترانس ازوفاژیال یا اکو از طریق مری: وقتی تصاویر دقیقتری از دهلیز چپ، ضایعات دریچهای، لخته در زائده دهلیزی یا آئورت لازم است. معمولاً با آرامبخش انجام میشود.
- اکو استرس: با ورزش یا دارو قلب را تحت فشار کنترل شده قرار میدهد تا کاهش خونرسانی پنهان را نشان دهد. حساسیت و ویژگی مناسبی برای بیماری عروق کرونر دارد.
- اکو داپلر: برای سنجش سرعت و جهت جریان خون و برآورد شدت مشکلات دریچهای و فشار ریوی در همه انواع اکوکاردیوگرافی قلب به کار میرود.
- اکو سه بعدی: برای اندازهگیری دقیق حجم بطنها و شکل دریچهها به ویژه در برنامهریزی جراحی و مداخلات ساختاری.
- اکو با ماده حاجب یا کنتراست: برای شفاف کردن مرزهای اندوکارد و تشخیص سوراخهای کوچک بین دهلیزی یا ارتباطهای غیرطبیعی. ایمنی بالایی دارد.
- استرین ایمیجینگ یا اندازهگیری تغییرشکل عضله قلب: برای شناسایی زودهنگام اختلال عملکرد میوکارد حتی وقتی کسر جهشی طبیعی است.
- اکو جنینی: بررسی دقیق قلب جنین معمولاً در هفتههای میانی بارداری برای تشخیص ناهنجاریهای مادرزادی قلب.
مقدمه
اکو قلب یا اکوکاردیوگرافی یکی از قابل اعتمادترین روشهای ارزیابی ساختار و عملکرد قلب است. این روش با استفاده از امواج فراصوت تصویری زنده از حفرهها، دریچهها و جریان خون ایجاد میکند و برای تشخیص بسیاری از مشکلات قلبی از نارسایی تا تنگی و نارسایی دریچهها به کار میرود. در این مقاله با انواع اکوکاردیوگرافی قلب، کاربردهای هرکدام، مزایا و محدودیتها، نحوه آمادهسازی بیمار و نکات ایمنی آشنا میشوید تا با آگاهی کامل در مورد انتخاب درست این تست تصمیم بگیرید.
اکو قلب
اکو قلب یا اکوکاردیوگرافی یک روش تصویربرداری پزشکی غیرتهاجمی است که با استفاده از امواج صوتی، تصاویر زنده و دقیقی از ساختار و عملکرد قلب به دست میدهد. این آزمایش به پزشکان کمک میکند اندازه و شکل قلب، وضعیت دریچهها، قدرت پمپاژ خون و جریان خون در حفرههای قلب را بررسی کنند. اکو قلب معمولاً برای تشخیص بیماریهای قلبی مانند نارسایی قلبی، مشکلات دریچهای، ناهنجاریهای مادرزادی و بررسی عملکرد پس از سکته قلبی مورد استفاده قرار میگیرد. این روش ایمن، بدون درد و بدون استفاده از اشعه است و یکی از مهمترین ابزارهای تشخیصی در حوزه قلب و عروق به شمار میرود.
انواع اکوکاردیوگرافی قلب
اکو ترانس توراسیک یا اکو از روی قفسه سینه چیست؟
اکو ترانس توراسیک یکی از انواع اکوکاردیوگرافی قلب است. در این روش مبدل روی پوست قفسه سینه حرکت میکند و تصویر زنده از قلب میسازد. این اکو پایه ارزیابی اولیه بیشتر بیماران قلبی است و اطلاعاتی درباره اندازه و ضخامت حفرهها، قدرت پمپاژ، کارکرد دریچهها، وجود مایع اطراف قلب و فشار شریان ریوی میدهد. راهنماهای انجمن اکوکاردیوگرافی آمریکا اجزای یک بررسی جامع ترانس توراسیک را مشخص کردهاند تا کیفیت و تکرارپذیری نتایج حفظ شود.
چه زمانی اکو قلب تجویز میشود؟
- تنگی نفس، درد قفسه سینه، تپش قلب یا بیحالی
- پیگیری نارسایی قلبی و کارکرد بطنها
- ارزیابی سوفلها و بیماریهای دریچهای
- بررسی مایع پریکارد و عوارض پس از سکته قلبی
مزایا و محدودیتها
مزیت اصلی، غیرتهاجمی بودن و در دسترس بودن است. محدودیت مهم، کیفیت وابسته به شرایط بدنی بیمار مانند چاقی یا بیماری ریوی است. در این شرایط ممکن است پزشک اکو ترانس ازوفاژیال را پیشنهاد کند تا تصاویر شفافتری به دست آید.
ایمنی
اکو ترانس توراسیک از امواج صوتی استفاده میکند و در آن اشعه به کار نمیرود. برای بیشتر افراد بیخطر است و نیاز به آمادگی خاص ندارد.
اکو ترانس ازوفاژیال یا اکو از راه مری
در این نوع، مبدل نازکی از طریق دهان وارد مری میشود تا قلب از فاصله نزدیکتری دیده شود. چون مری پشت قلب قرار دارد تصاویر بهویژه از دهلیز چپ، زائده دهلیزی و آئورت نزولی با وضوح بالا ارائه میشود.
چه زمانی ارجح است؟
- جستوجوی لخته در زائده دهلیزی چپ به خصوص در بیماران دچار فیبریلاسیون دهلیزی یا قبل از کاردیوورژن
- تشخیص و ارزیابی دقیق اندوکاردیت عفونی و آبسههای دریچهای
- بررسی آئورت و پارگی لایه داخلی
- راهنمایی مداخلات ساختاری مانند بستن سوراخ بین دهلیزی یا هدایت قراردهی دریچهها
- در تشخیص لخته زائده دهلیزی چپ به عنوان معیار مرجع شناخته میشود و دقت بسیار بالایی دارد.
روند انجام و آمادگی
بیمار معمولاً چند ساعت ناشتا میماند. گلوی بیمار بیحس و آرامبخش تزریق میشود تا تحمل پروب آسانتر شود. پس از پایان کار، به دلیل اثر آرامبخش بهتر است همان روز رانندگی انجام نشود.
ایمنی و عوارض نادر
احساس گلودرد گذرا شایع است. پارگی مری عارضهای بسیار نادر ولی جدی است و در گزارشها شیوعی در حد چند صدم درصد ذکر شده است. انتخاب بیمار، مهارت تیم و پایش دقیق، خطر را به حداقل میرساند.
اکو استرس
اکو استرس یکی از انواع اکوکاردیوگرافی قلب است و زمانی انجام میشود که بخواهیم عملکرد قلب هنگام فعالیت یا استرس دارویی را ببینیم. هدف، آشکار کردن مناطق دچار کاهش خونرسانی است که در حالت استراحت ممکن است طبیعی به نظر برسند. دو روش اصلی وجود دارد. در روش ورزشی بیمار روی تردمیل یا دوچرخه میدود و بلافاصله تصاویر گرفته میشود. در روش دارویی از داروهایی مانند دوبوتامین برای بالا بردن ضربان و قدرت انقباض استفاده میشود.
دقت تشخیصی
مطالعات متعددی نشان دادهاند که اکو استرس به طور کلی حساسیت و ویژگی مناسبی برای تشخیص بیماری عروق کرونر دارد. این آزمون در مقایسه با روشهای هستهای یا سی تی مزیت عدم استفاده از اشعه دارد و در بسیاری از بیماران خط اول ارزیابی است.
چه کسانی کاندید مناسب هستند؟
- بیماران با درد قفسه سینه و احتمال متوسط بیماری کرونر
- ارزیابی پیامدهای عملکردی تنگیهای متوسط در آنژیوگرافی
- پایش پاسخ به درمان در بیماری کرونر شناخته شده
ایمنی
اکو استرس روش امنی است. آریتمیهای قابل توجه یا عوارض جدی بسیار نادرند و تیم بالینی با پایش مستمر از بروز خطر جلوگیری میکند.
اکو داپلر
تقریباً در همه انواع اکوکاردیوگرافی قلب از داپلر استفاده میشود تا سرعت و جهت جریان خون اندازهگیری شود. داپلر پیوسته برای جریانهای پرسرعت مانند تنگی دریچهها و داپلر پالسی برای جریانهای نقطهای به کار میروند. با این دادهها میتوان شدت تنگی یا نارسایی دریچهها و نیز فشار سیستولیک شریان ریوی را برآورد کرد. استانداردهای انجام این اندازهگیریها در راهنماهای تخصصی به تفصیل آمده است.
اکو سه بعدی
اکو سه بعدی یکی دیگر از انواع اکوکاردیوگرافی قلب است. این اکو تصویری حجمی و واقعی از قلب ارائه میکند و برای اندازهگیری دقیق حجم بطنها، ارزیابی شکل و حرکت دریچهها و برنامهریزی مداخلات ساختاری بسیار مفید است. از مهمترین مزایا حذف فرضهای هندسی است که در محاسبات دو بعدی لازم است. در نتیجه، خطا کاهش مییابد و تصمیمگیری جراحی یا کاتتری با دقت بیشتری انجام میشود.
کجا بیشترین کمک را میکند؟
- اندازهگیری حجم و کسر جهشی بطنها در نارسایی قلبی
- ارزیابی پرولاپس و پارگی دریچه میترال و انتخاب نوع ترمیم
- هدایت درمانهای ساختاری مانند تعویض دریچه از راه پوست
اکو با ماده حاجب
اکو با ماده حاجب یکی از انواع اکوکاردیوگرافی قلب است. در برخی بیماران تصویر مرز داخلی قلب واضح نیست. در این موارد تزریق مقدار اندکی میکروحباب بیخطر به ورید باعث میشود حفرهها بهتر دیده شوند. اکو با کنتراست دقت اندازهگیریها را بالا میبرد و در تشخیص ارتباطهای غیرطبیعی میان حفرهها و نیز در بررسی شانت راست به چپ کاربرد دارد. ایمنی این مواد بر اساس مطالعات وسیع تایید شده و بروز عوارض جدی بسیار نادر گزارش شده است.
چه زمانی مفید است؟
- هنگامی که تصویر در اکو معمولی کافی نیست
- برای اثبات یا رد شانت دهلیزی
- ارزیابی دقیق عملکرد بطنها در بیماران دارای دیوارههای کلفت یا چاقی
استرین ایمیجینگ یا اندازهگیری تغییرشکل عضله قلب
استرین ایمیجینگ با ردیابی نقاط بافتی یکی از انواع اکوکاردیوگرافی قلب است. این اکو میزان کشیده شدن و کوتاه شدن تارهای عضله قلب را در هر بخش اندازهگیری میکند. شاخص رایج، استرین طولی سراسری بطن چپ است. این روش میتواند اختلال عملکرد زیر بالینی را پیش از کاهش کسر جهشی آشکار کند و در پایش سمّیت قلبی داروهای ضدسرطان، بیماری کاردیومیپاتی و حتی پیشبینی پیامدها ارزشمند است.
برای تفسیر درست، دانستن محدودههای طبیعی اهمیت دارد. مرورهای نظاممند نشان دادهاند که مقدار طبیعی استرین طولی سراسری معمولاً در بازهای قرار میگیرد که به صورت کلامی میتوان آن را نزدیک به منفی بیست درصد دانست و بسته به دستگاه و روش اندکی تفاوت دارد.
اکو جنینی
اکو جنینی یک بررسی تخصصی از قلب جنین است که توسط متخصص قلب کودکان انجام میشود. بهترین زمان انجام اکو جنینی معمولاً در حدود هفتههای میانی بارداری است. این بررسی زمانی درخواست میشود که در سونوگرافی غربالگری یافتهای مشکوک دیده شود یا عوامل خطر مانند سابقه خانوادگی بیماری قلبی مادرزادی یا دیابت مادر وجود داشته باشد.
چرا مهم است؟
تشخیص زودهنگام ناهنجاریهای قلبی جنین فرصت برنامهریزی برای تولد در مرکز مجهز و حتی برخی مداخلات داخل رحمی را فراهم میکند و بر پیامد نوزاد اثر مثبت دارد. توصیههای اخیر نیز بر انجام اکو جنینی در صورت مشاهده یافتههای غیرطبیعی در اسکنهای غربالگری تاکید میکنند.
مقایسه انواع اکوکاردیوگرافی قلب با سایر روشهای تصویربرداری
انتخاب بین انواع اکوکاردیوگرافی قلب، تستهای هستهای و سی تی قلب به سوال بالینی بستگی دارد. اکو مزیت عدم استفاده از اشعه و دسترسی گسترده دارد و میتواند پاسخ بسیاری از پرسشها را بدهد. اکو استرس در ارزیابی ایسکمی عملکردی توان رقابتی دارد و در بسیاری از بیماران خط اول است. سی تی آنژیوگرافی برای تصویر آناتومی عروق کرونر بسیار دقیق است ولی از اشعه استفاده میکند. ترکیب هوشمندانه این روشها بر اساس وضعیت بیمار بهترین نتیجه را به همراه خواهد داشت.
ایمنی و نکات آمادگی بیمار
برای اکو ترانس توراسیک معمولاً آمادگی خاصی لازم نیست و میتوانید داروهای خود را طبق روال مصرف کنید. این روش بدون اشعه است و برای کودکان و زنان باردار نیز بیخطر محسوب میشود.
برای اکو ترانس ازوفاژیال لازم است چند ساعت ناشتا بمانید. احتمال گلودرد خفیف وجود دارد. عوارض جدی بسیار نادر هستند و تیم درمان با رعایت اصول ایمنی احتمال آنها را به حداقل میرساند.
در اکو استرس، چه ورزشی و چه دارویی، بیمار تحت پایش دقیق قرار دارد. بروز آریتمی یا درد قفسه سینه در درصد بسیار کمی از بیماران اتفاق میافتد و پروتکلهای استاندارد برای مدیریت آن وجود دارد.
در اکو با کنتراست، واکنش جدی حساسیتی نادر است و اغلب عوارض اگر رخ دهند خفیف و گذرا هستند. تصمیم درباره استفاده از کنتراست با در نظر گرفتن منافع تصویری و شرایط بالینی بیمار انجام میشود.
پرسشهای کاربردی برای انتخاب درست انواع اکوکاردیوگرافی قلب
برای اینکه بدانید کدام یک از انواع اکوکاردیوگرافی قلب برای شما مناسبتر است، این سوالها راهگشاست:
- آیا شک به وجود لخته در دهلیز چپ وجود دارد؟
- آیا کیفیت تصویر اکو معمولی به دلیل بیماری ریوی یا وضعیت بدنی مناسب نیست؟
- آیا باید کاهش خونرسانی حین فعالیت را بررسی کنیم؟
- آیا به اندازهگیری بسیار دقیق حجم بطن و شکل دریچهها نیاز داریم؟
- آیا باردار هستید و در غربالگری جنین یافتهای مشکوک گزارش شده است؟
- آیا دریافت داروهای بالقوه سمی برای قلب را آغاز کردهاید و پایش زودهنگام عملکرد میوکارد لازم است؟
پاسخ به این پرسشها به پزشک کمک میکند تا از میان انواع اکوکاردیوگرافی قلب بهترین گزینه را انتخاب کند.
مثالهای بالینی کوتاه
بیماری با تنگی نفس و سوفل سیستولیک مراجعه میکند. اکو ترانس توراسیک شدت تنگی آئورت را با داپلر اندازهگیری میکند و بر اساس آن تصمیم درمانی گرفته میشود.
بیماری با فیبریلاسیون دهلیزی قرار است کاردیوورژن الکتریکی شود. برای اطمینان از نبود لخته در زائده دهلیزی چپ از اکو ترانس ازوفاژیال استفاده میشود.
بیماری با درد قفسه سینه هنگام پیادهروی اما نوار قلب طبیعی. اکو استرس میتواند ایسکمی پنهان را آشکار کند و مسیر درمان را مشخص سازد.
بیمار مبتلا به سرطان قبل از شروع شیمیدرمانی. اندازهگیری استرین طولی سراسری برای پایش زودهنگام آسیب قلبی برنامهریزی میشود.
در خانم باردار با یافته غیرطبیعی در اسکن غربالگری، اکو جنینی در هفتههای میانی انجام میشود تا ساختار قلب جنین به تفصیل بررسی شود.
نکات تخصصی که دانستن آنها به تصمیمگیری کمک میکند
در بیماران با پنجره آکوستیک ضعیف، افزودن کنتراست به شکل معنا داری مرز اندوکارد را واضحتر میکند و خطای اندازهگیری کسر جهشی را کم میکند.
برای برنامهریزی ترمیم دریچه میترال، اکو سه بعدی به تشخیص دقیق محل پرولاپس و پارگی لتها کمک میکند و انتخاب تکنیک ترمیم را آسانتر میسازد.
استرین طولی سراسری اغلب نسبت به کسر جهشی حساستر است و افت زودهنگام عملکرد میوکارد را نشان میدهد حتی وقتی کسر جهشی ظاهراً طبیعی است.
استانداردسازی گزارش اکو ترانس توراسیک و پیروی از چک لیستهای معتبر باعث میشود پیگیریهای بعدی قابل مقایسه باشند و روند تغییرات دقیقتر رصد شود.
سوالات متداول
اکو قلب اشعه دارد؟
خیر. اکو قلب از امواج صوتی استفاده میکند و اشعه ندارد. به همین دلیل برای بیشتر افراد از جمله کودکان و زنان باردار بیخطر است.
آیا اکو ترانس ازوفاژیال دردناک است؟
اغلب افراد فقط احساس فشار و گلودرد خفیف دارند. برای راحتی معمولاً آرامبخش کوتاهاثر تزریق میشود. عوارض جدی مانند آسیب مری بسیار نادر است.
برای اکو ترانس توراسیک باید ناشتا باشم؟
خیر. معمولاً نیاز به ناشتایی نیست و میتوانید داروهای معمول خود را مصرف کنید.
اکو استرس برای چه کسانی مناسب نیست؟
اگر محدودیت شدید حرکتی دارید یا بیماریهای خاصی دارید که ورزش را خطرناک میکند، ممکن است از روش دارویی استفاده شود. تصمیمگیری با تیم قلب است.
دقت اکو استرس در تشخیص بیماری کرونر چگونه است؟
مطالعات نشان دادهاند که اکو استرس به طور کلی حساسیت و ویژگی مناسبی دارد و در بسیاری از بیماران به عنوان روش خط اول ارزیابی ایسکمی استفاده میشود.
اکو با کنتراست خطرناک است؟
طبق شواهد موجود، این روش ایمن است و عوارض جدی بسیار نادر هستند. منافع تصویری در بسیاری از بیماران از خطرات احتمالی بیشتر است.
اکو سه بعدی چه برتریای نسبت به دو بعدی دارد؟
اندازهگیری حجم بطنها و جزئیات دریچهها با دقت بیشتر و بدون فرضهای هندسی انجام میشود و برای تصمیمگیری درمانی بسیار کمککننده است.
استرین ایمیجینگ چه زمانی درخواست میشود؟
وقتی پزشک به اختلال عملکرد زیر بالینی مشکوک است یا لازم است اثر داروهای بالقوه سمی برای قلب به شکل زودرس پایش شود، این اندازهگیری کمک میکند.
اکو جنینی در چه هفتهای بهتر است؟
در اغلب دستورالعملها زمان بهینه حدود هفتههای میانی بارداری عنوان شده است و اگر در غربالگری یافتهای مشکوک باشد انجام آن توصیه میشود.
اگر تصویر اکو معمولی واضح نباشد چه باید کرد؟
پزشک میتواند از کنتراست برای بهبود وضوح استفاده کند یا اکو ترانس ازوفاژیال را برای دید بهتر پیشنهاد دهد.
جمعبندی
انواع اکوکاردیوگرافی قلب برای پاسخ به پرسشهای مشخص طراحی شدهاند. اکو ترانس توراسیک نقطه آغاز بیشتر ارزیابیها است. برای مشاهده دقیق دهلیز چپ، آئورت و دریچهها اکو ترانس ازوفاژیال به کار میرود. اگر هدف آشکارسازی ایسکمی پنهان باشد اکو استرس مفید است. اندازه گیری دقیق حجم بطنها و برنامه ریزی مداخلات با اکو سه بعدی انجام میشود. در تصاویر نامناسب استفاده از کنتراست وضوح را افزایش میدهد و با استرین ایمیجینگ میتوان اختلال عملکرد را زودتر تشخیص داد. در بارداری، اکو جنینی بهترین فرصت تشخیص زودرس ناهنجاریها را فراهم میکند. با همکاری پزشک، انتخاب درست از میان انواع اکوکاردیوگرافی قلب تشخیص و درمان را هدفمند میسازد.



