Skip links

آنژیوگرافی در شریعتی

آنژیوگرافی در شریعتی یکی از روش‌های مهم تصویربرداری در پزشکی است که به تشخیص و ارزیابی بیماری‌های عروق کمک می‌کند. این روش به پزشکان امکان می‌دهد تا با استفاده از تصاویر دقیق از عروق، مشکلات احتمالی را شناسایی و درمان کنند.

آنژیوگرافی در شریعتی چیست؟

آنژیوگرافی در شریعتی یک روش تصویربرداری پزشکی است که با استفاده از تزریق ماده حاجب به عروق خونی و عکس‌برداری با اشعه ایکس، تصاویر دقیقی از عروق بدن ایجاد می‌کند. این تصاویر به پزشکان کمک می‌کند تا مشکلاتی مانند تنگی، انسداد و آنوریسم‌ها را شناسایی کنند.

خدمات متنوع

تخصص

تجربه

انواع آنژیوگرافی در شریعتی

آنژیوگرافی برای اولین بار در اوایل قرن بیستم معرفی شد و از آن زمان تاکنون به طور قابل توجهی پیشرفت کرده است. این روش ابتدا توسط پزشکان پرتغالی ادواردو فرناندز و امانوئل آگوستین اختراع شد و به تدریج با پیشرفت فناوری بهبود یافت.

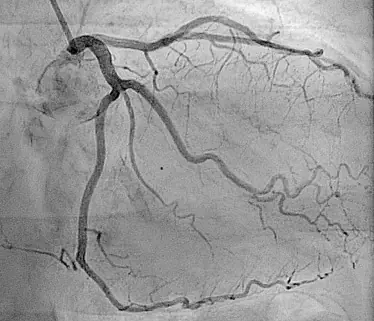
آنژیوگرافی کرونری

این نوع آنژیوگرافی برای بررسی عروق کرونری قلب استفاده می‌شود و به تشخیص بیماری‌های عروق کرونری مانند تنگی و انسداد عروق کمک می‌کند.

آنژیوگرافی

آنژیوگرافی مغزی

این نوع آنژیوگرافی برای بررسی عروق مغزی و شناسایی مشکلاتی مانند آنوریسم‌ها و انسدادهای عروقی استفاده می‌شود.

آنژیوگرافی محیطی

آنژیوگرافی محیطی برای بررسی عروق خونی در اندام‌های محیطی مانند دست‌ها و پاها استفاده می‌شود و به تشخیص مشکلاتی مانند تنگی و انسداد عروق محیطی کمک می‌کند.

نیاز به مشاوره دارید؟

جهت دریافت مشاوره تخصصی از طریق لینک مقابل اقدام فرمائید.

کاربردهای آنژیوگرافی در شریعتی

تشخیص بیماری‌های عروق کرونری

آنژیوگرافی به تشخیص بیماری‌های عروق کرونری مانند تنگی و انسداد عروق کرونری کمک می‌کند و اطلاعات دقیقی درباره وضعیت عروق قلب فراهم می‌کند.

coronary angiography 1

بررسی تنگی و انسداد عروق

این روش برای شناسایی تنگی و انسداد عروق خونی در نقاط مختلف بدن استفاده می‌شود و به پزشکان کمک می‌کند تا مشکلات را به طور دقیق تشخیص دهند.

ارزیابی آنوریسم‌ها

آنژیوگرافی به شناسایی و ارزیابی آنوریسم‌ها کمک می‌کند و اطلاعات دقیقی درباره اندازه و موقعیت آنها فراهم می‌کند.

مزایای آنژیوگرافی در شریعتی

آنژیوگرافی یک روش دقیق و غیرتهاجمی است که به تشخیص سریع و دقیق مشکلات عروقی کمک می‌کند. این روش به پزشکان امکان می‌دهد تا با استفاده از تصاویر دقیق، مشکلات را شناسایی و درمان مناسب را برنامه‌ریزی کنند.

united cardiology ct coronary angiography

محدودیت‌ها و معایب آنژیوگرافی در شریعتی

هر چند آنژیوگرافی دارای مزایای بسیاری است، اما محدودیت‌هایی نیز دارد. این روش ممکن است در برخی موارد نیاز به استفاده از ماده حاجب داشته باشد که می‌تواند برای برخی بیماران با مشکلات کلیوی یا آلرژی به ماده حاجب، مشکل‌ساز باشد.

نحوه انجام آنژیوگرافی در شریعتی

آماده‌سازی بیمار
پیش از انجام آنژیوگرافی، بیمار باید ناشتا باشد و از مصرف غذا و نوشیدنی خودداری کند. همچنین، باید تمامی داروهای مصرفی را به پزشک اطلاع دهد.

مراحل انجام آنژیوگرافی
در طول آنژیوگرافی، بیمار به تخت اشعه ایکس منتقل می‌شود و ماده حاجب از طریق یک کاتتر به عروق خونی تزریق می‌شود. سپس با استفاده از دستگاه اشعه ایکس، تصاویر دقیقی از عروق خونی تهیه می‌شود.

نیاز به مشاوره دارید؟

جهت دریافت مشاوره تخصصی از طریق لینک مقابل اقدام فرمائید.

نتایج آنژیوگرافی در شریعتی

نتایج آنژیوگرافی معمولاً بلافاصله پس از انجام آزمایش در دسترس هستند و پزشک می‌تواند وضعیت عروق خونی بیمار را بررسی و تفسیر کند.

تفسیر نتایج آنژیوگرافی

پزشک بر اساس نتایج آنژیوگرافی، می‌تواند مشکلات و بیماری‌های عروقی را تشخیص داده و درمان مناسب را توصیه کند. نتایج شامل تصاویر دقیقی از عروق و نقاط تنگی یا انسداد است.

medical pulse analyses stethoscope

ریسک‌ها و عوارض احتمالی آنژیوگرافی در شریعتی

آنژیوگرافی به طور کلی ایمن است، اما ممکن است در موارد نادری عوارضی مانند واکنش‌های آلرژیک به ماده حاجب، خونریزی در محل تزریق کاتتر، یا عفونت ایجاد شود. بنابراین، این تست باید تحت نظر پزشک و در شرایط کنترل شده انجام شود.

مراقبت‌های پس از آنژیوگرافی در شریعتی

پس از انجام آنژیوگرافی، بیمار معمولاً نیاز به استراحت دارد و ممکن است پزشک توصیه‌هایی برای مراقبت از محل تزریق کاتتر و جلوگیری از عفونت ارائه دهد. همچنین، بیمار باید از انجام فعالیت‌های سنگین خودداری کند.

مقایسه آنژیوگرافی با سایر روش‌های تصویربرداری

آنژیوگرافی در مقایسه با روش‌هایی مانند MRI و سی‌تی‌اسکن، دقیق‌تر و سریع‌تر است و می‌تواند تصاویر دقیقی از عروق خونی ارائه دهد. این روش به پزشکان امکان می‌دهد تا مشکلات عروقی را با دقت بیشتری شناسایی و درمان کنند.

stethoscope

نیاز به مشاوره دارید؟

جهت دریافت مشاوره تخصصی از طریق لینک مقابل اقدام فرمائید.

مشاهده کنید
بکشید
قدرت گرفته از مدیـــکال استراتـــژیست