Skip links

آیا آنژیو قلب خطرناک است؟

خلاصه مطلب:

اگر پرسش شما این است که «آپدیت آیا آنژیو قلب خطرناک است؟» پاسخ کوتاه چنین است: آنژیوگرافی قلب یک روش تشخیصی و گاه درمانی بسیار رایج و عموما کم خطر است که با بی‌حسی موضعی انجام می‌شود و امکان مشاهده مستقیم رگ‌های کرونر را فراهم می‌کند. آنژیوگرافی قلب که به طور معمول به آن “آنژیو” […]

آیا آنژیو قلب خطرناک است؟
فهرست مطالب

اگر پرسش شما این است که «آپدیت آیا آنژیو قلب خطرناک است؟» پاسخ کوتاه چنین است: آنژیوگرافی قلب یک روش تشخیصی و گاه درمانی بسیار رایج و عموما کم خطر است که با بی‌حسی موضعی انجام می‌شود و امکان مشاهده مستقیم رگ‌های کرونر را فراهم می‌کند. آنژیوگرافی قلب که به طور معمول به آن “آنژیو” گفته می‌شود، یکی از پیشرفته‌ترین و پرکاربردترین روش‌های تشخیصی در حوزه قلب و عروق است. این روش به پزشکان اجازه می‌دهد تا با استفاده از فناوری‌های تصویربرداری دقیق، ساختار و عملکرد عروق کرونری قلب را بررسی کنند و مشکلات احتمالی نظیر انسداد یا تنگی عروق را شناسایی کنند. اما بسیاری از بیماران قبل از انجام این روش از خود می‌پرسند که آیا آنژیو خطرناک است و آیا عوارض جدی می‌تواند داشته باشد؟ در این مقاله، به طور جامع و کامل به این موضوع پرداخته و تلاش می‌کنیم تا تمامی جنبه‌های مثبت و منفی این روش را بررسی کنیم تا شما بتوانید تصمیمی آگاهانه بگیرید.

بیشتر بخوانید : آنژیوگرافی

مقدمه

آنژیوگرافی قلب برای بسیاری از افراد نامی آشنا اما همراه با نگرانی است. طبیعی است که پیش از پذیرش یک اقدام پزشکی در پی پاسخی روشن باشید. این راهنمای به روز، با تمرکز بر پرسش محوری شما یعنی «آپدیت آیا آنژیو قلب خطرناک است؟»، تلاش می‌کند تصویری دقیق، کاربردی و قابل اتکا ارائه کند. متن حاضر با زبان ساده اما مستند به اصول پذیرفته‌شده بالینی نگاشته شده تا هم ترس‌های رایج را پاسخ دهد و هم شما را برای گفت‌وگوی بهتر با پزشک آماده سازد.

آنژیو قلب چیست؟

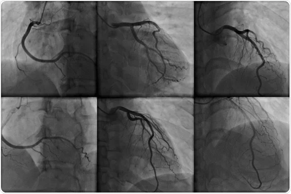
آنژیوگرافی قلب یکی از دقیق‌ترین و کاربردی‌ترین روش‌های پزشکی است که برای بررسی عروق کرونری و تشخیص مشکلات مرتبط با جریان خون به قلب انجام می‌شود. در این روش، پزشک یک کاتتر بسیار نازک را از طریق شریان‌های بدن، معمولاً از کشاله ران یا مچ دست، وارد سیستم عروقی بیمار می‌کند. سپس با تزریق یک ماده رنگی خاص که در تصاویر اشعه ایکس دیده می‌شود، تصاویر دقیقی از عروق کرونری قلب گرفته می‌شود. این تصاویر کمک می‌کنند تا پزشک بتواند نقاطی از عروق که ممکن است دچار انسداد یا تنگی شده باشند را تشخیص دهد و برای درمان آن‌ها برنامه‌ریزی کند. علاوه بر این، در برخی موارد خاص، آنژیوگرافی می‌تواند بلافاصله پس از تشخیص، به درمان نیز منجر شود، مانند باز کردن عروق با استفاده از بالون یا استنت‌گذاری.

چرا آنژیوگرافی قلب انجام می‌شود؟

چرا آنژیوگرافی قلب انجام می‌شود؟

آنژیوگرافی قلب برای تشخیص دقیق مشکلات مرتبط با عروق کرونری انجام می‌شود. این روش اغلب در شرایطی تجویز می‌شود که بیمار علائمی مانند درد قفسه سینه، تنگی نفس، یا خستگی مفرط را تجربه کند. از آنجایی که این علائم می‌توانند نشانه‌هایی از بیماری‌های قلبی جدی مانند آنژین یا حتی احتمال سکته قلبی باشند، انجام آنژیوگرافی می‌تواند کمک کند تا خطرات جدی‌تر شناسایی و مدیریت شوند. علاوه بر این، این روش برای ارزیابی نتایج درمان‌های قبلی مانند جراحی بای‌پس یا استنت‌گذاری نیز استفاده می‌شود. پزشکان همچنین از آنژیو برای تصمیم‌گیری درباره نوع درمان مناسب برای هر بیمار استفاده می‌کنند، از جمله دارودرمانی یا جراحی.

بیشتر بخوانید : اکوکاردیوگرافی

مراحل انجام آنژیو قلب

  1. آماده‌سازی بیمار برای انجام آنژیو

قبل از شروع آنژیوگرافی، بیمار نیاز دارد که یک سری آمادگی‌های اولیه را انجام دهد. معمولاً پزشک به بیمار توصیه می‌کند که شب قبل از عمل ناشتا باشد و از مصرف برخی داروها یا مکمل‌های غذایی خودداری کند. همچنین ممکن است آزمایش‌های خون و تصویربرداری‌های اولیه انجام شود تا اطمینان حاصل شود که بیمار آماده انجام آنژیو است. پزشک همچنین تمامی مراحل عمل را به بیمار توضیح می‌دهد و به سوالات احتمالی او پاسخ می‌دهد تا نگرانی‌هایش کاهش یابد.

  1. ورود به اتاق عمل و آغاز مراحل اولیه

در روز عمل، بیمار به اتاق آنژیوگرافی منتقل می‌شود و تحت نظارت تیم پزشکی قرار می‌گیرد. برای انجام این روش، از بی‌حسی موضعی در محل ورود کاتتر استفاده می‌شود. این بی‌حسی باعث می‌شود که بیمار در طول عمل هیچ دردی احساس نکند و فقط ممکن است کمی فشار یا ناراحتی جزئی را تجربه کند.

  1. هدایت کاتتر و تزریق ماده رنگی

پس از بی‌حسی، کاتتر نازک و انعطاف‌پذیر از طریق شریان وارد بدن می‌شود و به سمت عروق کرونری هدایت می‌شود. هنگامی که کاتتر در محل مناسب قرار گرفت، ماده رنگی به داخل عروق تزریق می‌شود. این ماده رنگی که در اشعه ایکس قابل مشاهده است، باعث می‌شود که عروق کرونری به وضوح در تصاویر دیده شوند و هرگونه انسداد یا تنگی به سرعت شناسایی شود.

  1. تحلیل تصاویر و تصمیم‌گیری‌های درمانی

پس از گرفتن تصاویر لازم، پزشک آن‌ها را بررسی کرده و نقاطی که ممکن است دچار مشکل باشند را ارزیابی می‌کند. اگر در طول عمل انسدادی مشاهده شود که نیاز به درمان فوری داشته باشد، ممکن است پزشک در همان جلسه اقدام به باز کردن عروق با استفاده از بالون یا استنت کند.

خطرات احتمالی آنژیو قلب

خطرات احتمالی آنژیو قلب

مانند هر روش پزشکی دیگری، آنژیوگرافی قلب نیز می‌تواند با برخی خطرات همراه باشد. هرچند این روش بسیار ایمن است و عوارض آن در اغلب موارد نادر هستند، اما آگاهی از این خطرات می‌تواند به بیمار کمک کند تا تصمیم بهتری بگیرد.

  1. عفونت و خونریزی در محل ورود کاتتر

یکی از عوارض نادر اما ممکن آنژیو، عفونت یا خونریزی در محل ورود کاتتر است. این مشکل معمولاً با مراقبت‌های دقیق پزشکی کنترل می‌شود و نیاز به نگرانی زیادی ندارد.

  1. واکنش آلرژیک به ماده رنگی

برخی افراد ممکن است به ماده رنگی که در طول عمل تزریق می‌شود حساسیت داشته باشند. این حساسیت می‌تواند به صورت خارش، تورم یا حتی واکنش‌های شدیدتر بروز کند. پزشک معمولاً قبل از عمل سابقه حساسیت بیمار را بررسی می‌کند.

  1. آسیب به عروق خونی یا قلب

در موارد بسیار نادر، کاتتر ممکن است به دیواره عروق یا قلب آسیب برساند. این خطر معمولاً با تجربه و مهارت پزشک کاهش می‌یابد.

  1. مشکلات کلیوی

ماده رنگی مورد استفاده در آنژیوگرافی ممکن است برای افرادی که مشکلات کلیوی دارند، خطرناک باشد. بنابراین، پزشک ممکن است قبل از عمل آزمایش‌های خاصی برای ارزیابی عملکرد کلیه انجام دهد.

مزایا و فواید آنژیو قلب

با وجود خطرات کم، آنژیوگرافی قلب یکی از موثرترین روش‌ها برای تشخیص و درمان بیماری‌های قلبی است. این روش به پزشکان اجازه می‌دهد تا به سرعت و با دقت بالا مشکلات عروق کرونری را شناسایی کنند و در صورت نیاز، درمان‌های لازم را انجام دهند. از جمله مزایای آنژیو می‌توان به موارد زیر اشاره کرد:

  • تشخیص سریع و دقیق: آنژیوگرافی به پزشکان کمک می‌کند تا به سرعت انسدادها و مشکلات عروق خونی را شناسایی کنند.
  • امکان درمان فوری: در بسیاری از موارد، مشکلات شناسایی‌شده در طول آنژیو می‌توانند بلافاصله درمان شوند.
  • کاهش خطر سکته قلبی: با شناسایی و درمان انسدادهای عروقی، احتمال بروز سکته قلبی به طور قابل توجهی کاهش می‌یابد.
  • بهبود کیفیت زندگی: پس از درمان موفقیت‌آمیز، بسیاری از بیماران کاهش قابل توجهی در علائم خود تجربه می‌کنند و می‌توانند زندگی بهتری داشته باشند.

بیشتر بخوانید : تست ورزش

مراقبت‌های بعد از آنژیو و علائم هشدار

آگاهی از مراقبت‌ها نگاه شما به پرسش «آپدیت آیا آنژیو قلب خطرناک است؟» را واقع‌بینانه می‌کند.

بایدها

نوشیدن مایعات کافی مگر اینکه پزشک محدودیت داده باشد
پرهیز از فعالیت سنگین در چند روز نخست
نگهداری محل ورود کاتتر تمیز و خشک
مصرف داروها طبق نسخه به ویژه داروهای ضد پلاکت بعد از استنت

هشدارها

خونریزی فعال یا تورم رو به افزایش در محل
درد قفسه سینه جدید یا تشدید شونده
تنگی نفس شدید یا بی‌حالی غیر معمول
تب مداوم یا ترشح چرکی از محل

در صورت بروز هر یک از این موارد با مرکز درمانی تماس بگیرید.

پرسش‌های متداول آیا آنژیو قلب خطرناک است؟

  1. آیا آنژیو قلب دردناک است؟
    خیر، این روش معمولاً با بی‌حسی موضعی انجام می‌شود و بیمار تنها ممکن است احساس فشار جزئی کند.
  2. چقدر طول می‌کشد تا بیمار به فعالیت‌های روزمره بازگردد؟
    معمولاً بیماران می‌توانند در عرض چند روز به فعالیت‌های عادی خود بازگردند، مگر اینکه درمان پیچیده‌ای نیاز داشته باشند.
  3. آیا آنژیو قلب نیاز به بستری دارد؟
    در بسیاری از موارد، بیماران در همان روز مرخص می‌شوند، اما این بستگی به وضعیت بیمار دارد.
  4. هزینه آنژیو چقدر است؟
    هزینه این روش بسته به بیمارستان و نوع بیمه متغیر است.
  5. آیا انجام آنژیو برای همه ضروری است؟
    خیر، این روش تنها در صورت تشخیص پزشک و بر اساس علائم بیمار انجام می‌شود.
  6. آیا آنژیو برای همه افرادی که درد قفسه سینه دارند لازم است؟
    خیر. ابتدا احتمال بیماری بر اساس شرح حال و آزمون‌های غیر تهاجمی سنجیده می‌شود. آنژیو برای موارد با احتمال بالا یا نتایج مبهم و خطرناک توصیه می‌شود.
  7. بعد از آنژیو چه زمانی می‌توان به کار و ورزش برگشت؟
    فعالیت‌های سبک خیلی زود از سر گرفته می‌شود. بازگشت به ورزش تدریجی و طبق نظر پزشک است.

نتیجه‌گیری آیا آنژیو قلب خطرناک است؟

آنژیوگرافی قلب یکی از روش‌های پیشرفته و ایمن در حوزه پزشکی است که به تشخیص دقیق و درمان بیماری‌های قلبی کمک می‌کند. اگرچه ممکن است خطرات کمی داشته باشد، اما مزایای آن در مقایسه با این خطرات بسیار بیشتر است. انتخاب یک پزشک ماهر، رعایت دستورالعمل‌های پیش از عمل و داشتن اطلاعات کافی درباره این روش می‌تواند تجربه‌ای ایمن و موفقیت‌آمیز را برای بیمار فراهم کند.

اشتراک گذاری مقاله
سایر مطالب
مشاهده کنید
بکشید
قدرت گرفته از مدیـــکال استراتـــژیست